守山 栗東 野洲 湖南 甲賀の歯列矯正専門医院
MENU
077-583-1187
休診
木・日・祝
WEB予約
TEL
問い合わせ
月
火
水
木
金
土
日
診療日
■
●
●
–
●
●
–
■
月曜日は隔週診療
診療時間
月・水
14:00-20:00
火・金
10:30-19:00
土
10:00-18:30
※13:00-14:00はお昼休憩となります。
休診日
月(隔週)・木・日・祝
TOP
医院情報
医院情報
医院情報
診療方針・理念・特徴
矯正医紹介
院内・設備紹介
診療カレンダー
医院所在地
求人情報
ブログ
お問い合わせ
矯正相談掲示板
サイトマップ
矯正治療の流れ
矯正治療の流れ
矯正治療の流れ
カウンセリング(Q&A)
検査
診断・治療計画
Ⅰ期治療
矯正装置の選択
動的治療
保定・メンテナンス
歯列矯正メニュー
歯列矯正メニュー
歯列矯正メニュー
子どもの矯正
舌側(裏側)矯正
唇側(表側)矯正
マウスピース型矯正装置
外科矯正(顎変形症)
歯科矯正用
アンカースクリュー
部分的な矯正
口腔筋機能療法(MFT)
矯正費用・値段表
矯正治療に伴う
一般的なリスク・副作用
矯正費用・値段表
症例紹介
症例紹介
症例紹介
叢生・八重歯
出っ歯・口ゴボ
受け口・反対咬合
開咬
すきっ歯
埋伏・先天性欠損
ブログ
矯正治療に伴う
一般的なリスク・副作用
すきっ歯
GAP TEETH
TOP
すきっ歯の治療例
すきっ歯の治療例
初診
治療後
初診
治療後
初診
治療後
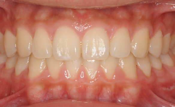
年齢
26歳
主訴
前歯の隙間が気になる
診断
上顎前突を伴う空隙歯列
治療装置
マウスピース型矯正装置(インビザライン)*
抜歯部位
非抜歯
治療期間
1年8か月(20回)
リスク
・歯の移動に伴う痛み
・歯根吸収
・歯肉炎、虫歯
費用
¥1,188,000
記事一覧
次の記事
症例一覧
叢生・八重歯
出っ歯・口ゴボ
受け口・反対咬合
開咬
すきっ歯
埋伏・先天性欠損
症例一覧
叢生・八重歯
出っ歯・口ゴボ
受け口・反対咬合
開咬
すきっ歯
埋伏・先天性欠損
TEL
WEB
予 約
問い合わせ